Skip to content
Search for:
HOME
What is OrofacialMyology
What is Sleep apnea
Sleep Apnea in Children
Orthodontics
ABOUT ANN
OROFACIAL MYOLOGY DISORDERS
MOUTH BREATHING
Open Mouth-Lips Apart
TONGUE THERAPY
Tongue Thrust
Tongue tie
UNPLUGGING THE THUMB
BLOG
FORMS
FAQ
Get In Touch
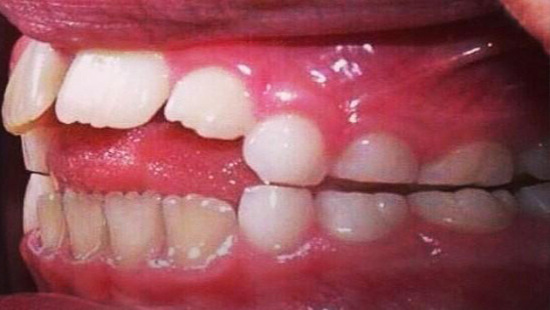
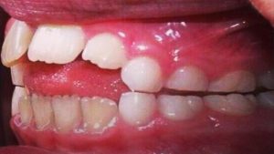
Tongue thrust
Tongue thrust
elegentcoders
2017-11-16T20:26:09+00:00
Page load link
Go to Top